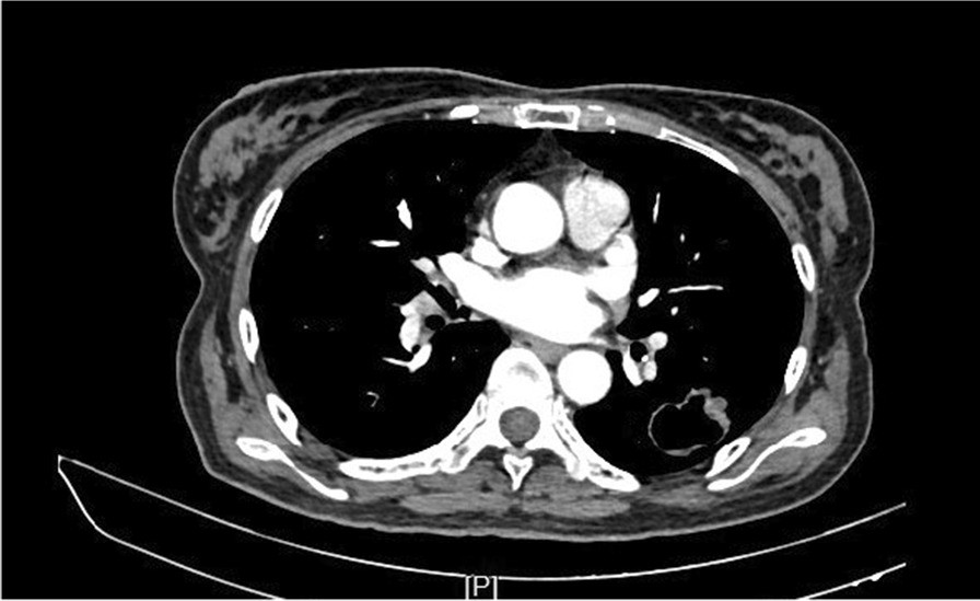
Fig. 6From: Ureteral urothelial carcinoma with squamous cell carcinoma and sarcomatoid carcinoma differentiation: a case reportThere is a mass shadow in the dorsal segment of the left lower lobe, approximately 35 × 24 × 32 mm in size, with lobes, cavities, uneven wall thickness, and enhancementBack to article page