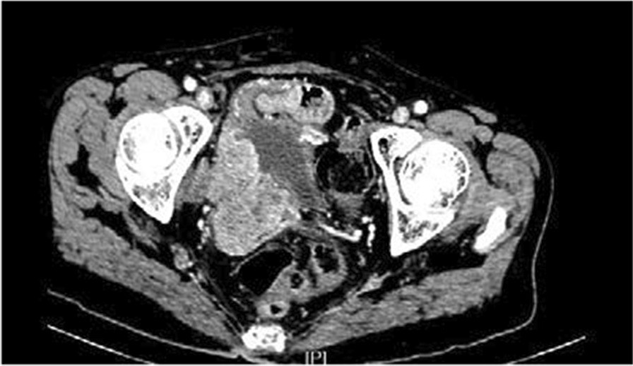
Fig. 5From: Ureteral urothelial carcinoma with squamous cell carcinoma and sarcomatoid carcinoma differentiation: a case reportIrregular soft tissue mass shadows on the right side of the pelvis. Tumour metastasis with invasion of the inferior vena cava and right common iliac artery was consideredBack to article page