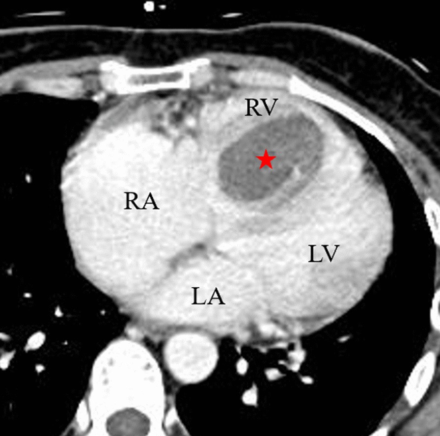
Fig. 2From: Giant right ventricular myxoma presenting as right heart failure with systemic congestion: a rare case reportContrast-enhanced computed tomography showed the tumor in RV had no contrast effect (red star); LA left atria, LV left ventricle, RA right atria, RV right ventricleBack to article page